悅康
悅康
悅康
楓鄰
楓鄰
楓鄰
悅康
悅康
楓鄰
楓鄰
跳至主要內容
關於我們
選單切換按鈕
核心理念
專業團隊
交通資訊
海外專區
All-on-4全口重建
選單切換按鈕
療程介紹
一日手術流程
案例分享
常見Q&A
費用說明
價格迷思
植牙
選單切換按鈕
微創植牙
牙齒矯正
選單切換按鈕
隱形矯正
兒童矯正
一般矯正
齒科美學
選單切換按鈕
全瓷冠
牙齒美白
全瓷貼片
診療項目
選單切換按鈕
牙周病治療
一般牙科
兒童牙科
醫生專欄
悅康牙醫
tel.(06) 249-7689
楓鄰牙醫
tel.(06) 302-3485
關於我們
選單切換按鈕
核心理念
專業團隊
交通資訊
海外專區
All-on-4全口重建
選單切換按鈕
療程介紹
一日手術流程
案例分享
常見Q&A
費用說明
價格迷思
植牙
選單切換按鈕
微創植牙
牙齒矯正
選單切換按鈕
隱形矯正
兒童矯正
一般矯正
齒科美學
選單切換按鈕
全瓷冠
牙齒美白
全瓷貼片
診療項目
選單切換按鈕
牙周病治療
一般牙科
兒童牙科
醫生專欄
Main Menu
關於我們
選單切換按鈕
核心理念
專業團隊
交通資訊
海外專區
All-on-4全口重建
選單切換按鈕
療程介紹
一日手術流程
案例分享
常見Q&A
費用說明
價格迷思
植牙
選單切換按鈕
微創植牙
牙齒矯正
選單切換按鈕
隱形矯正
兒童矯正
一般矯正
齒科美學
選單切換按鈕
全瓷冠
牙齒美白
全瓷貼片
診療項目
選單切換按鈕
牙周病治療
一般牙科
兒童牙科
醫生專欄
首頁
>
案例分享
>
All-on-4全口重建
>
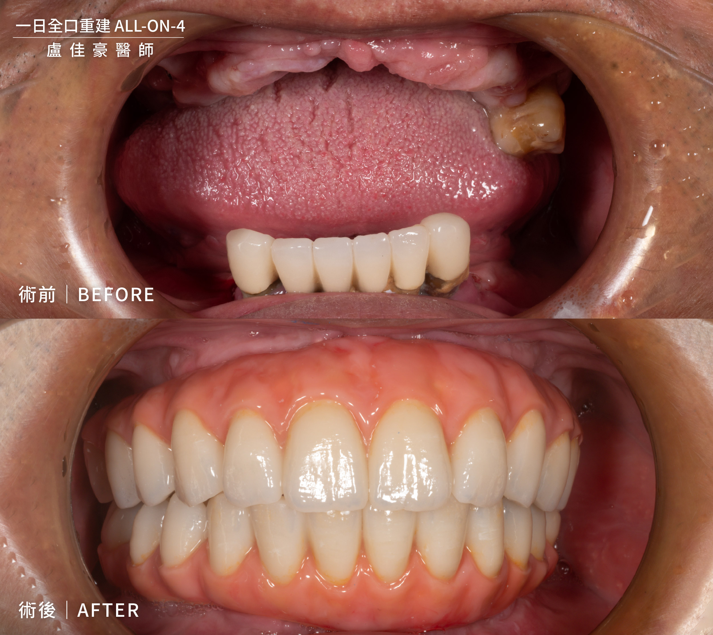
All-on-4全口重建_案例(08)
All-on-4全口重建_案例(08)
上一頁
上一篇
All-on-4全口重建_案例(08)
下一篇
All-on-4全口重建_案例(12)
下一篇
全部文章
最新消息
-悅康動態
-楓鄰動態
醫生專欄
– All-on-4全口重建
– 微創植牙
– 牙齒矯正
– 全瓷牙冠
– 美白牙齒
全部文章
最新消息
-悅康動態
-楓鄰動態
醫生專欄
– All-on-4全口重建
– 微創植牙
– 牙齒矯正
– 全瓷牙冠
– 美白牙齒
熱門標籤
All-on-4
All-on-6
全口植牙
台南牙醫
植牙推薦
牙齒矯正
舒眠植牙
返回頂端